首页
娱乐焦点
世界百态
情感生活
猎奇新闻
军情动态
综合视播
图片视觉
网友话题
关于我们
首页
>
情感生活
>
家庭百事
为什么医生不推荐洗牙 洗牙后悔了前后照片
2020-08-31 11:19:58
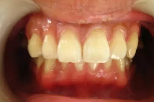
洗牙后,洁白如一
一个高职学校的学生,口腔内严重的牙结石,可能小时候没有刷过牙,洗牙前后对比照片
洗牙后效果很明显
标题回顾:
为什么医生不推荐洗牙 洗牙后悔了前后照片
2/2
上一页
1
2
我要评论
相关文章
飞机杯一般用多少次扔掉?
公务员面试试题及答案解析(八篇)
《你是你吃出来的》读书笔记16
女生减脂增肌怎么做 女生增肌做什么运动
粗一硬一长一进一爽一小说引发社会关注
摸胸故事引发公众讨论引起共鸣
狠狠撸小说引发社会关注
狠狠弄背后的故事揭示了什么[引发社会关注]
异性相吸背后的心理学揭秘引发社会关注
警花系列揭秘女性警察的勇敢与坚韧 引发社会关注
回顶部
Copyright@2008-2039 环宇新生活 All Rights Reserved